


ЩО ТАКЕ МЕТАЛЕВІ
ЛІГАТУРНІ БРЕКЕТИ?
Металеві брекети — це одна з найпоширеніших ортодонтичних систем, що використовуються для корекції прикусу та вирівнювання зубів.
Вони складаються з металевих конструкцій, які фіксуються на кожному зубі за допомогою спеціальних лігатур (маленьких гумових або металевих стрічок), що забезпечують постійний тиск на зуби, поступово переміщуючи їх у потрібне положення.
ПЕРЕВАГИ МЕТАЛЕВИХ БРЕКЕТІВ



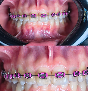
ЯК ПРАЦЮЮТЬ МЕТАЛЕВІ ЛІГАТУРНІ БРЕКЕТИ?
Лігатурні брекети працюють завдяки застосуванню гумових або металевих лігатур, що надають системі можливість поступового переміщення зубів.
Цей метод дозволяє коригувати навіть складні випадки прикусу і зберігати ефективність на протязі всього лікування.
.png)
Металеві лігатурні брекети — це класика ортодонтії, яка довела свою результативність десятиліттями. Завдяки точному контролю тиску на кожен зуб, лікар може досягати помітних змін уже в перші місяці лікування.
Ця система дозволяє коригувати навіть складні випадки прикусу з максимальною точністю. Результат — рівні зуби, гармонійна усмішка та правильна робота щелеп.
)%20(9).png)
Металеві брекети — універсальне рішення, яке ефективно працює як у підлітків, так і в дорослих пацієнтів. Вони справляються з різними видами патологій прикусу: скупченістю зубів, зміщенням щелеп, міжзубними проміжками тощо.
Це ідеальний варіант, якщо ви прагнете надійного результату без компромісів — незалежно від складності вашого випадку.
)%20(10).png)
Металеві брекети виготовляються з високоякісної медичної сталі, стійкої до зношування, деформацій і зміни кольору.
Вони витримують інтенсивне навантаження щодня, не втрачаючи ефективності протягом усього періоду лікування.
Це вибір тих, хто цінує практичність, стабільність і впевненість у тому, що система працюватиме бездоганно від першого до останнього дня.

БРЕКЕТИ — ЦЕ ЛИШЕ ТИМЧАСОВИЙ ЕТАП.
УСМІШКА, ЯКУ ВИ ОТРИМАЄТЕ, ЗАЛИШИТЬСЯ З ВАМИ НАЗАВЖДИ.
.png)

Залиште свої контакти, і наш адміністратор зв’яжеться з вами, щоб підібрати зручний час візиту. Ваш шлях до ідеальної усмішки починається просто зараз.
ГРАФІК
РОБОТИ
ПН-СБ 09:00–19:00
НЕДІЛЯ -  за попереднім записом
098 611 7374




